Địa chỉ: 152 Xã Đàn - Văn Miếu Quốc Tử Giám - Hà Nội
Mở cửa: 8:00 - 20:00 (Kể cả T7 - CN)

Nổi mụn ở bìu tinh hoàn – Bác sĩ mách bạn phương pháp điều trị dứt điểm nhanh chóng

Tư vấn y khoa: Bác sĩ chuyên khoa Nam Học - ĐKQT Hà Nội

Đánh giá:

Nổi mụn ở bìu tinh hoàn là vấn đề nhạy cảm khiến nhiều nam giới lo lắng nhưng lại ngại tìm đến bác sĩ. Thực tế, đây có thể là dấu hiệu cảnh báo viêm nhiễm da, dị ứng hoặc bệnh lây truyền qua đường tình dục, nếu không được thăm khám và điều trị kịp thời sẽ dễ dẫn tới biến chứng nguy hiểm. Nếu bạn đang gặp tình trạng tương tự, tham khảo ngay bài viết dưới đây để hiểu rõ nguyên nhân và giải pháp điều trị an toàn, hiệu quả.

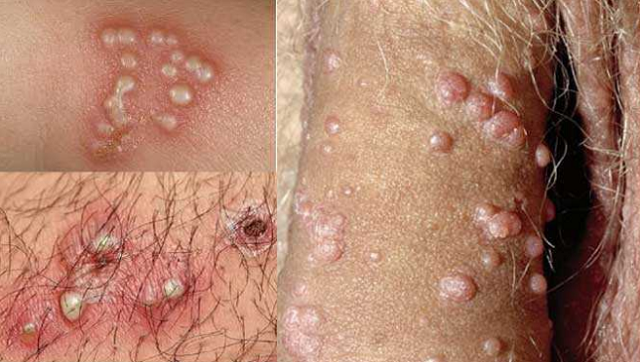
Nổi mụn ở bìu tinh hoàn là mắc bệnh gì?

Nổi mụn ở bìu tinh hoàn là tình trạng da vùng bìu xuất hiện các nốt mụn đỏ, mụn mủ, mụn nước hoặc mụn thịt. Mụn có thể xuất hiện đơn lẻ hoặc kèm theo triệu chứng ngứa rát, sưng đỏ, tiết dịch, viêm loét da.
Ngoài yếu tố vệ sinh kém do tích tụ mồ hôi, bụi bẩn, nổi mụn ở bìu tinh hoàn còn có thể là dấu hiệu cảnh báo nhiều bệnh lý nam khoa hoặc bệnh lây truyền qua đường tình dục. Các bệnh thường gặp gồm:

Viêm nang lông bìu

 Viêm nang lông xảy ra khi các nang lông bị viêm nhiễm, thường do ma sát, cạo hoặc tẩy lông chưa đúng cách. Khi xảy ở vùng bìu tinh hoàn, nơi da mỏng và nhạy cảm sẽ dẫn đến nổi mụn đỏ, mụn mủ nhỏ, có lông ở giữa kèm cảm giác đau nhẹ.

  • Mụn đỏ tròn, đường kính vài mm, đầu mụn trắng (khi tụ mủ)
  • Xung quanh có viền đỏ viêm nhẹ
  • Có cảm giác hơi đau khi sờ vào hoặc ấn xuống nhẹ nhàng
  • Mụn mọc đơn lẻ, không lan rộng

Mụn do viêm nang lông có tự khỏi không thưa bác sĩ?

Mặc dù lành tính nhưng nổi mụn ở bìu tinh hoàn do viêm nang lông dễ tái phát, đặc biệt khi vùng bìu ẩm ướt, mặc quần bó hoặc vệ sinh kém. Nam giới cần giữ vùng kín khô thoáng, vệ sinh sạch sẽ và không nên nặn mụn để tránh nhiễm trùng lan rộng.

Nhiễm nấm vùng kín

Nổi mụn ở vùng bìu tinh hoàn có thể do nhiễm nấm Dermatophytes. Chúng gây viêm da ở vùng bẹn, bìu và đùi trên, là một trong những bệnh da liễu phổ biến nhất, chiếm khoảng 10-20%.

  • Xuất hiện mảng da đỏ, có vảy, ranh giới rõ ràng
  • Mụn là tổn thương dạng hồng, mụn nước hoặc sần sùi.
  • Ngứa dữ dội, thường lan từ nếp bẹn vào một phần bìu.

Bệnh dễ lây lan, khả năng tái phát cao, đặc biệt trong môi trường nóng ẩm. Người bệnh cần chủ động thăm khám sớm, kết hợp giữ vệ sinh sạch sẽ để ngăn chặn mụn lan rộng.

Tôi có triệu chứng – Bác sĩ hướng dẫ cách điều trị giúp tôi

Mụn rộp sinh dục

Nổi mụn ở bìu tinh hoàn mà trước đó có phát sinh quan hệ không an toàn, không được loại trừ nguy cơ mắc bệnh mụn rộp sinh dục. Theo WHO, khoảng 520 triệu người (13%) trong độ tuổi 15 – 49 trên toàn thế giới nhiễm virus gây mụn rộp sinh dục HSV.

  • Xuất hiện mụn nước nhỏ, mọc thành chùm tại vùng bìu.
  • Mụn mềm, chứa dịch lỏng bên trong.
  • Mụn dễ vỡ, tạo thành các vết loét nông, đau rát.
  • Vùng bìu ngứa, sau mụn lan rộng sang vùng xung quanh.

Tôi có triệu chứng nhưng chưa có thời gian đi khám – Cần bác sĩ hỗ trợ online

Virus HSV tồn tại tiềm ẩn trong cơ thể, bùng phát khi sức đề kháng giảm, tái phát nhiều lần. Tổn thương mụn tại bìu có thể lan sang các vùng khác như hậu môn, đùi, bẹn, làm bệnh trầm trọng hơn. Nếu không điều trị kịp thời, viêm nhiễm tại cơ quan sinh sục sẽ làm giảm chất lượng tinh trùng, tăng nguy cơ vô sinh – hiếm muộnlây nhiễm bệnh cho bạn tình.

 Sùi mào gà

Mụn ở bìu tinh hoàn có thể do sùi mào gà. Sùi mào gà là một trong những nhiễm trùng lây qua đường tình dục phổ biến nhất, với tỷ lệ nhiễm toàn cầu khoảng 31% ở nam giới với mọi chủng HPV. (Theo Tổ Chức Y Tế Thế Giới)

  • Xuất hiện những nốt u nhú nhỏ màu hồng nhạt đến màu da tại bìu
  • Mụn mọc lẻ tẻ trong giai đoạn đầu, sau đó kết thành từng mảng như súp lơ hoặc mào gà
  • Mụn sùi giai đoạn đầu không ngứa, không đau nhưng dễ chảy dịch khi có ma sát
  • Khi mụn vỡ, chảy dịch mủ gây viêm loét, rát, ngứa ngáy

Tôi có triệu chứng nổi mụn vùng bìu – Cần bác sĩ tư vấn chi tiết

Sùi mào gà tiến triển nhanh nếu không điều trị; có thể lây cho bạn tình khi quan hệ tình dục không an toàn. Bệnh gây viêm nhiễm cơ quan sinh dục, suy giảm sinh lý và tăng nguy cơ hiếm muộn – vô sinh. Nếu mắc các chủng HPV nguy cơ cao, người bệnh có thể đối mặt với ung thư dương vật, ung thư hậu môn,…

Để biết chính xác nguyên nhân gây mụn ở bìu tinh hoàn, người bệnh nên đi khám tại cơ sở y tế uy tín. Không nên tự chẩn đoán, tự điều trị bệnh để tránh điều trị sai dẫn tới những biến chứng khó lường. Đăng ký gói khám nam khoa 299K TẠI ĐÂY

Tôi muốn đặt lịch khám ngay

Phương pháp điều trị mụn ở bìu hoàn an toàn, hiệu quả, nhanh chóng

Mục tiêu điều trị mụn ở bìu tinh hoàn là ngăn chặn tổn thương lan rộng, bảo vệ chức năng cơ quan sinh dục và hạn chế tối đa nguy cơ tái phát. Vì thế, bạn cần đến cơ sở y tế chuyên khoa uy tín thăm khám, xác định nguyên nhân và mức độ bệnh, từ đó, bác sĩ sẽ xây dựng phác đồ điều trị phù hợp:

Điều trị nội khoa

  • Trường hợp viêm nang lông, nhiễm nấm: Sử dụng thuốc chuyên khoa có tác dụng kháng viêm, kháng nấm, làm giảm nhanh triệu chứng sưng đỏ, ngứa rát và hỗ trợ phục hồi vùng da tổn thương.
  • Trường hợp mụn rộp sinh dục: Dùng thuốc đặc trị nhằm ức chế sự nhân lên của virus, giảm mức độ tổn thương và ngăn chặn nguy cơ bùng phát.
  • Kết hợp bài thuốc Y học cổ truyền: Giúp thanh nhiệt, giải độc, bồi bổ cơ thể, tăng sức đề kháng và hỗ trợ phòng ngừa tái phát.

Vì sao tôi dùng thuốc trị mụn ở bìu tinh hoàn mãi không khỏi? – Bác sĩ tư vấn giúp tôi

Lưu ý: Việc dùng thuốc phải tuân thủ chỉ định của bác sĩ. Tự ý mua hoặc sử dụng sai liều lượng có thể khiến bệnh nặng hơn, khó điều trị và dễ tái phát.

Điều trị bằng vật lý trị liệu

  • Đối với mụn ở bìu tinh hoàn do sùi mào gà

Bằng cách sử dụng ánh sáng nhằm kích hỏa những phân tử có tính nhạy cảm với ánh sáng trong mô tổn thương, tạo ra những phân tử oxy hóa rất mạnh có nhiệm vụ phá hủy tế bào mụn sùi, ức chế quá trình tăng sinhhạn chế lây lan tổn thương.

Khi kết hợp với bài thuốc Đông – Tây y sẽ kích thích cơ thể sản sinh hệ miễn dịch tự nhiên, nâng cao sức đề kháng, hỗ trợ điều trị hiệu quả cả bên ngoài và bên trong.

phương pháp ala-pdt

Phòng khám Đa khoa Quốc tế Hà Nội hiện đang là địa chỉ tiên phong tại Hà Nội điều trị sùi mào gà bằng phương pháp ALA –PDT thế hệ 3. Ưu điểm của phương pháp:

Hiệu quả cao: Phương pháp phá hủy có chọn lọc với tỷ lệ sạch tổn thương cao, không ảnh hưởng đến các mô lành tính xung quanh.

Không để lại sẹo: Nhờ đặc tính sử dụng ánh sáng nên không để lại sẹo trên bề mặt da, đảm bảo tính thẩm mỹ.

Ngăn ngừa tái phát: ALA – PDT ức chế và phá vỡ cấu trúc virus HPV, đồng thời kích thích cơ thể sản sinh miễn dịch nên giúp nâng cao hiệu quả điều trị và phòng ngừa tái phát.

Thời gian điều trị nhanh: Quy trình điều trị nhanh chóng, người bệnh có thể ra về trong ngày. Giúp tiết kiệm thời gian và chi phí điều trị

Phương pháp ALA – PDT thế hệ 3 có thể áp dụng cho tất cả bệnh nhân mắc sùi mào gà, cả trường hợp sùi mào gà biến chứng, tái phát nhiều lần, chữa lâu không hết.

Hiện nay, phòng khám đang triển khai chương trình ưu đãi hấp dẫn miễn phí 100% phí khám lâm sàng, giảm 10 – 30% chi phí vật lý trị liệu bằng công nghệ ALA – PDT thế hệ 3. Để nhận ưu đãi, hãy nhấn nút [Đặt lịch khám]

[Đăng Ký Tại Đây Nhận Mã Gói Khám]

  • Đối với mụn rộp sinh dục: Bác sĩ áp dụng các kỹ thuật vật lý trị liệu hiện đại để tiêu diệt virus, thúc đẩy tái tạo mô da, giảm đau rát và rút ngắn thời gian hồi phục.

Việc lựa chọn phương pháp điều trị phụ thuộc vào nguyên nhân, tình trạng tổn thương và sức khỏe tổng thể của người bệnh. Người bệnh cần chủ đông thăm khám, tuân thủ phác đồ điều trị, kết hợp chế độ sinh hoạt hợp lý. Đăng ký khám ngay tại đây để được tư vấn thêm về phương pháp điều trị hiệu quả.

Phòng khám Đa khoa Quốc tế Hà Nội 152 Xã Đàn – Địa chỉ hỗ trợ điều trị mụn ở bìu tinh hoàn an toàn, hiệu quả, hạn chế tái phát

Phòng khám Đa khoa Quốc tế Hà Nội (152 Xã Đàn) – trực thuộc Sở Y tế Hà Nội là địa chỉ uy tín trong hỗ trợ điều trị các bệnh nam khoa, bệnh lây truyền qua đường tình dục. Với đội ngũ bác sĩ chuyên khoa giàu kinh nghiệm, trang thiết bị hiện đại và kỹ thuật điều trị tiên tiến, phòng khám đã giúp hàng nghìn người bệnh khỏi bệnh, giảm tái phát và bảo toàn chức năng sinh sản.

Thông tin Phòng khám:

Đội ngũ bác sĩ chuyên khoa giàu kinh nghiệm, giỏi chuyên môn

Tại Phòng khám Đa khoa Quốc tế Hà Nội, đội ngũ bác sĩ đều là các chuyên gia đầu ngành trong lĩnh vực nam khoa. Các bác sĩ đều có trên 30 năm kinh nghiệm làm việc tại các bệnh viện lớn, liên tục cập nhật kiến thức và kỹ thuật tiên tiến thông qua các hội thảo, khóa đào tạo chuyên sâu trong và ngoài nước để nâng cao hiệu quả điều trị.

  •  Bác sĩ Lê Đỗ Nguyên: Chuyên khoa II Nam học, Nguyên Trưởng khoa Nam học tại Bệnh viện Xanh – Pon, từng công tác tại bệnh viện lớn trong nước và là chuyên gia y tế tại Angola.

  • Bác sĩ Trần Mạnh Hiển: Bác sĩ CKII Ngoại – Nam học, Nguyên Trưởng khoa Ngoại Bệnh viện Thanh Nhàn, chuyên gia trong lĩnh vực khám, tư vấn và hỗ trợ điều trị các bệnh nam khoa, bệnh lây truyền qua đường tình dục,…

Phòng khám cam kết đồng hành cùng người bệnh 24/24. Nếu trong hoặc sau điều trị có bất kỳ biểu hiện bất thường nào, bệnh nhân đều có thể chủ động liên hệ bác sĩ để được hỗ trợ kịp thời – hoàn toàn miễn phí.

Cơ sở vật chất, trang thiết bị y tế hiện đại

  • Trang bị đồng bộ máy móc, thiết bị y tế hiện đại, nhập khẩu từ Mỹ, Đức, Hàn Quốc, Nhật Bản.
  • Phòng thủ thuật, phòng khám và khu điều trị đạt chuẩn vô khuẩn, đảm bảo an toàn tối đa.
  • Ứng dụng kỹ thuật điều trị tiên tiến: công nghệ  ALA – PDT, liệu pháp Đông – Tây y kết hợp, liệu pháp tăng cường miễn dịch,… giúp nâng cao điều trị hiệu quả, giảm tái phát và bảo toàn sức khỏe sinh sản cho người bệnh.

Chi phí khám chữa bệnh hợp lý, nhiều ưu đãi hấp dẫn

Là phòng khám trực thuộc sự quản lý của Sở Y tế Hà Nội, phòng khám Đa khoa Quốc tế Hà Nội 152 Xã Đàn cam kết:

  • Giá dịch vụ được niêm yết công khai, minh bạch theo quy định của Sở Y tế Hà Nội.
  • Người bệnh được tư vấn chi tiết về phương pháp, lộ trình và tổng chi phí trước khi điều trị.
  • Chi phí tùy theo tình trạng bệnh, phác đồ và kỹ thuật áp dụng, cam kết không phát sinh ngoài dự kiến.
  • Nhiều chương trình ưu đãi, hỗ trợ chi phí cho bệnh nhân khám ngoài giờ, khám định kỳ.

Đặc biệt, hiện nay, phòng khám đang triển khai ưu đãi khám hấp dẫn dành cho những khách hàng đặt hẹn khám online trước TẠI ĐÂY . Đây là cơ hội “có một không hai” để người bệnh lựa chọn tầm soát bệnh, phát hiện và hỗ trợ điều trị bệnh kịp thời:

  • Miễn phí 100% phí khám lâm sàng với bác sĩ chuyên khoa giỏi.
  • Giảm 30 – 50% phí thủ thuật
  • Giảm 10 – 30% phí điều trị
  • Được ưu tiên khám trước không phải chờ đợi
Lưu ý: Ưu đãi chỉ áp dụng cho bệnh nhân đặt lịch hẹn trước 18/04/2026. Trường hợp không đặt lịch sẽ phải thanh toán 100% phí gốc. Nhận ưu đãi khám chữa trĩ – CHAT NGAY!

Dịch vụ y tế chất lượng cao

  • Mô hình điều trị cá thể hóa: 1 bác sĩ – 1 y tá – 1 bệnh nhân, đảm bảo theo dõi sát sao và chăm sóc toàn diện.
  • Đội ngũ điều dưỡng chuyên nghiệp: thân thiện, cởi mở, tận tâm đồng hành cùng người bệnh từ khâu tiếp đón đến khi hoàn tất điều trị.
  • Lịch làm việc linh hoạt: từ 8h00 đến 20h30 tất cả các ngày trong tuần, không nghỉ lễ, không nghỉ chủ nhật, đáp ứng nhu cầu khám chữa bệnh ngoài giờ hành chính.
  • Bảo mật tuyệt đối: thông tin cá nhân và hồ sơ bệnh án được lưu trữ an toàn, tuân thủ nghiêm ngặt quy định y tế.

Hãy liên hệ ngay với Phòng khám Đa khoa Quốc tế Hà Nội qua số hotline hoặc đăng ký lịch khám online 0243 678 8888 hoặc nhấp chọn TƯ VẤN ONLINE để được tư vấn miễn phí và nhận ưu đãi hấp dẫn.

Bài viết KHÔNG có thông tin bạn tìm, liên hệ với bác sĩ chuyên khoa bằng cách:

Hiệu quả hỗ trợ điều trị phụ thuộc vào thể trạng của mỗi người

Tuân thủ theo đúng chỉ định của bác sĩ để mang lại kết quả tốt nhất

TƯ VẤN TRỰC TUYẾN

Hãy chủ động để tháo gỡ mọi thắc mắc

ĐĂNG KÝ KHÁM

đội ngũ bác sĩ chuyên khoa

- Tận tâm với nghề, tận tình với bệnh nhân -

THỜI GIAN LÀM VIỆC

ĐỘI NGŨ BÁC SĨ

Ths,Bs. Lê Đỗ Nguyên

CK II Ngoại Tiết niệu

Bác sĩ Nguyên đã có 30 năm kinh nghiệm điều trị các bệnh lý nam khoa. Từng công tác tại nhiều bệnh viện chuyên khoa lớn ở thủ đô Hà Nội...

Bs. Nguyễn Văn Sướng

CK II Ngoại Tiết niệu

Với 30 năm kinh nghiệm trong lĩnh vực Tiết niệu – Nam học, từng công tác tại các bệnh viện lớn tại Hà Nội. Bác sĩ đã hỗ trợ điều trị thành công nhiều ca bệnh khó trong lĩnh vực nam khoa, tiết niệu.

B.s Trần Mạnh Hiển

CK II Ngoại Tiết niệu

Nguyên là Trưởng khoa Cấp cứu Ngoại, Bệnh viện Thanh Nhàn...Top bác sĩ Ngoại - Nam học giỏi khu vực phía Bắc

Hệ thống kênh hỗ trợ trực tuyến

Hiệu quả hỗ trợ điều trị phụ thuộc vào thể trạng của từng người