Bác Sĩ Da Liễu Giỏi Hướng Dẫn Nhận Biết Bệnh Sùi Mào Gà Ở Miệng Và Cách Chữa
Tư vấn y khoa: Bác sĩ chuyên khoa Nam Học - ĐKQT Hà Nội
Đánh giá:
Theo Bác sĩ Nguyễn Văn Sướng, chuyên gia có 30 năm kinh nghiệm khám chữa bệnh sùi mào gà, từng công tác tại nhiều bệnh viện lớn tại Hà Nội cho biết: sùi mào gà là bệnh xã hội nguy hiểm, không chỉ ảnh hưởng đến hệ thống sinh sản mà có thể tăng nguy cơ mắc các bệnh ung thư. Sùi mào gà không chỉ mọc ở bộ phận sinh dục (dương vật, âm đạo), hậu môn, khóe mắt… mà còn xuất hiện ở miệng.

Nhiều người cho rằng, sùi mào gà không thể chữa khỏi, phải sống chung với bệnh cả đời. Tuy nhiên, với sự phát triển vượt bậc của y học hiện nay, bệnh sùi mào gà hoàn toàn có thể chữa khỏi 100%, không đau, không tái phát trở lại bằng phương pháp ALA – PDT thế hệ 3.
Phòng khám Đa khoa Quốc tế Hà Nội
- Địa chỉ: Số 152 Xã Đàn, Đống Đa, Hà Nội
- Thời gian làm việc: Từ 8h – 20h30 (tất cả các ngày trong tuần)
- Tư vấn miễn phí: 0243.678.8888 – 082.999.2020 .
Đối với bệnh xã hội nói chung và bệnh sùi mào gà nói riêng, người bệnh thường mang tâm lý xấu hổ, ngại ngùng. Hiểu được điều này, phòng khám Đa khoa Quốc tế Hà Nội triển khai mô hình khám chữa bệnh “1 bác sĩ – 1 bệnh nhân”, bác sĩ nam khám cho nam, bác sĩ nữ khám cho nữ, phòng khám bệnh khép kín đảm bảo quyền riêng tư cho bệnh nhân. Chát với bác sĩ ngay để được tư vấn và đăng ký ưu đãi sùi mào gà 200K (giá gốc 1.230.000vnđ) + giảm 30 – 50% phí thủ thuật. Đăng ký TẠI ĐÂY

Nguyên nhân gây ra sùi mào gà ở miệng lưỡi
Nguyên nhân trực tiếp gây ra sùi mào gà ở miệng là Human papilloma virus (thường là HPV-16) gây ra do người bệnh có sở thích quan hệ bằng miệng (oral sex). Bởi vì, quan hệ tình dục bằng đường miệng và lưỡi thường không có bao cao su bảo vệ vì vậy virus HPV trong dịch nhầy của người bệnh thường dễ bám vào vết thương hở.
Sùi mào gà ở miệng lây truyền qua đường nào?
Quan hệ tình dục bằng miệng: việc dùng miệng tiếp xúc với bộ phận sinh dục của bệnh nhân sẽ tạo điều kiện cho mầm bệnh lây lan từ bộ phận sinh dục sang miệng, gây ra sùi mào gà ở lưỡi và miệng.
Hôn môi với người mắc bệnh: việc tiếp xúc bằng miệng với người mắc sùi mào gà ở miệng cũng là nguyên nhân khiến virus HPV lây truyền từ miệng người này sang người khác.
Lây qua vật dụng trung gian (tỉ lệ rất thấp): việc sử dụng chung vật dụng cá nhân như khăn mặt, khăn tắm có chứa máu mủ, dịch nhầy mang virus HPV của người bệnh sẽ là nguyên nhân khiến virus HPV lan truyền. [CHAT VỚI BÁC SĨ ĐỂ ĐƯỢC TƯ VẤN TẠI ĐÂY]
Dấu hiệu nhận biết sùi mào gà ở miệng
Sai lầm lớn nhất của người bệnh khi mắc sùi mào gà ở miệng – họng là do nhầm lẫn bản thân mình mắc viêm họng, nhiệt miệng hay viêm amidan nên thường chủ quan trong việc thăm khám và điều trị bệnh. Rất nhiều người đã tự mua thuốc ho, viêm họng về nhà điều trị trong thời gian dài mà bệnh vẫn không khỏi.
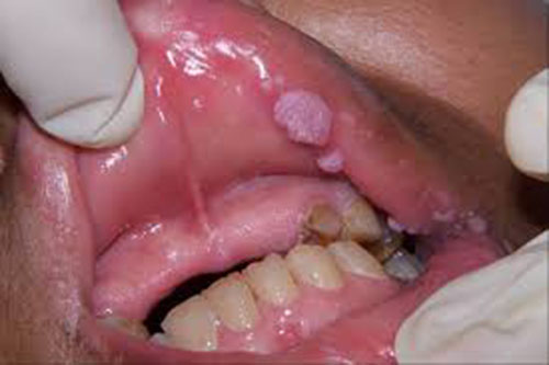
Sùi mào gà ở miệng – họng là những nốt sùi nhỏ li ti có thể mọc riêng rẽ hoặc thành đám ở khoang miệng, chúng có màu hồng, chúng liên kết với nhau nhìn như mào gà hay hoa súp lơ bề mặt xù xì, mềm dẫn đến tình trạng sưng và đau hàm, khó khăn khi giao tiếp, nhai nuốt. Miệng họng có mùi hôi. Nếu để lâu ngày sùi mào gà ở miệng có thể gây ra ung thư vòm họng.
Ngoài ra khi mắc sùi mào gà ở miệng – họng người bệnh sẽ thấy xuất hiện những mụn thịt mềm, nhô cao hơn so với bề mặt da và ngày càng tăng lên về số lượng khiến họng bị che lấp gây khó khăn trong việc ăn uống, gây khàn giọng, thậm chí là ho ra máu.
Dưới đây, Bác sĩ Nguyễn Văn Sướng đưa ra một số thông tin giúp bệnh nhân phân biệt bệnh sùi mào gà ở lưỡi và nhiệt miệng:
- Dấu hiệu nhận biết: tổn thương sùi mào gà khiến cho khoang miệng bệnh nhân xuất hiện các u nhú với kích thước từ nhỏ đến lớn, chụm lại thành từng đám. Trong khi tổn thương do nhiệt miệng gây ra khiến khoang miệng bệnh nhân lở loét, sưng đỏ, chứ không xuất hiện thêm u nhú bất thường nào.
- Thời gian xuất hiện: mụn sùi ở miệng không thể biến mất nếu không điều trị trong khi các vết loét do nhiệt miệng có thể tự lành sau 10-15 ngày.
Nhìn chung, sùi mào gà ở miệng dễ nhầm lẫn với các bệnh nhiệt miệng, viêm họng nên người bệnh thường tự ý mua thuốc điều trị. Việc điều trị sai bệnh sẽ khiến mức độ bệnh càng nghiêm trọng, có thể gây hoại tử, đặc biệt là biến chứng ung thư vòm họng, ung thư lưỡi, ung thư khoang miệng.
Lời khuyên của chuyên gia: biểu hiện sùi mào gà ở miệng thường xuất hiện rời rạc nên người bệnh thường mang tâm lý chủ quan và không điều trị sớm. Vậy nên, nếu bạn đã từng quan hệ tình dục qua đường miệng thì cần chủ động quan sát vùng miệng và lưỡi của mình có triệu chứng bất thường hay không. Nếu phát hiện những nốt mụn bất thường thì nên đến bệnh viện, phòng khám chuyên khoa da liễu để được bác sĩ thăm khám và tư vấn. [CHAT HỎI BÁC SĨ TẠI ĐÂY]
Dưới đây là tổng hợp hình ảnh sùi mào gà ở miệng:







Phương pháp ALA – PDT thế hệ 3 hỗ trợ chữa khỏi sùi mào gà 100%, không đau, không tái phát
Với gần 20 năm hình thành và phát triển, phòng khám Đa khoa Quốc tế Hà Nội được đánh giá là cơ sở chuyên khoa về khám chữa bệnh sùi mào gà tại Hà Nội hiện nay. Phòng khám hiện là cơ sở y tế duy nhất hỗ trợ điều trị sùi mào gà khỏi chỉ 1 liệu trình bằng phương pháp ALA – PDT thế hệ 3. Đây cũng chính là lý do vì sao rất nhiều bệnh nhân dù đã điều trị sùi mào gà bằng nhiều phương pháp nhưng vẫn phải đến phòng khám Đa khoa Quốc tế Hà Nội để xử lý bằng phương pháp ALA – PDT thế hệ 3.
Mỗi ngày, phòng khám Đa khoa Quốc tế Hà Nội tiếp nhận và điều trị thành công cho hơn 200 bệnh nhân mắc bệnh sùi mào gà. Phương pháp ALA – PDT thế hệ 3 là phương pháp điều trị sùi mào gà tiên tiến khắc phục được hầu hết nhược điểm của các phương pháp nội khoa, ngoại khoa truyền thống như: không gây đau đớn, hỗ trợ tiêu diệt “tận gốc” virus HPV, không để lại sẹo, kích thích tái tạo tế bào giúp mau lành vết thương. Có thể nói, phương pháp chữa sùi mào gà ALA – PDT thế hệ 3 mang lại hiệu quả cao – an toàn tuyệt đối – thời gian điều trị ngắn – chi phí hợp lý.

Ưu điểm vượt trội của ALA – PDT thế hệ 3:
Ứng dụng công nghệ hiện đại: đây là kết quả của quá trình ứng dụng công nghệ hiện đại vào trong việc cập nhật và ứng dụng các kỹ thuật, phương pháp chữa bệnh sùi mào gà hay các chứng bệnh gây u nhú ở người. Cơ chế hoạt động của ALA – PDT thế hệ 3 là dựa vào sự tác động qua lại của các nguồn sáng dưới dạng chất cảm quang, oxy nhằm mục đích khắc phục triệu chứng tăng sinh của các tế bào gai trên niêm mạc da cộng thêm một số loại u xơ xuất hiện trên bề mặt da.
Hiệu quả cao: ALA-PDT thế hệ 3 là phương pháp điều trị phá hủy có chọn lọc với tỷ lệ sạch tổn thương cao, tỷ lệ tái phát thấp; Đây cũng là phương pháp được tin dùng tại nhiều nước có nền y học phát triển như Mỹ, Hàn Quốc, Singapore…
Thời gian điều trị nhanh: phương pháp ALA – PDT thế hệ 3 có thời gian điều trị ngắn cộng thêm quy trình điều trị nhanh chóng, người bệnh có thể ra về trong ngày sau khi sức khỏe đã ổn định và không cần lưu viện.
Không để lại sẹo: nhờ vào đặc tính sử dụng ánh sáng chất cảm quang nên không để lại sẹo trên bề mặt da so với các phương pháp truyền thống, có tính thẩm mỹ cao. Đồng thời, bảo toàn được chức năng của các mô, tế bào có chứa mầm bệnh nên hạn chế được các nguy cơ biến chứng.
Ngăn ngừa tái phát: ngăn chặn được nguy cơ tái phát từ tận gốc của cấu trúc gen và phá vỡ cấu trúc virus HPV cũng như kích thích cơ thể sản sinh hệ miễn dịch nâng cao hiệu quả điều trị.
Tiết kiệm chi phí: ngoài những ưu điểm nói trên, khi điều trị sùi mào gà bằng phương pháp ALA – PDT thế hệ 3 còn giúp người bệnh tiết kiệm thời gian và ít tốn chi phí cho việc điều trị.

Tất cả các chỉ định, theo dõi bệnh đều do Bác sĩ chuyên khoa bệnh xã hội, sùi mào gà… có trình độ chuyên môn giỏi, kinh nghiệm lâu năm, từng làm việc tại các bệnh viện lớn như: Bệnh viện Xanh Pôn, Bệnh viện 108, Bệnh viện Thanh Nhàn, Bệnh viện Việt Đức, Bệnh viện Phụ sản Hà Nội…
Giờ đây, bạn không cần phải đến bệnh viện công xếp hàng từ sáng tới chiều mà vẫn được hẹn khám với các bác sĩ chuyên khoa có trên trên 30 năm kinh nghiệm. Đặt hẹn với bác sĩ và lấy mã khám trước để không phải xếp hàng chờ đợi [TẠI ĐÂY].

Một số bác sĩ tiêu biểu tại phòng khám như:
Bác sĩ Nguyễn Thị Phương Loan: bác sĩ có gần 30 năm kinh nghiệm khám chữa phụ khoa, bệnh xã hội và tư vấn chăm sóc sức khỏe sinh sản. Bác sĩ từng là Phó Giám Đốc Trung Tâm Chăm Sóc SKSS tỉnh Thái Bình. Đặt lịch trước với bác sĩ Loan: [TẠI ĐÂY]
Bác sĩ Tạ Thị Hồng Duyên: bác sĩ có 30 năm kinh nghiệm khám chữa phụ khoa, bệnh xã hội và tư vấn chăm sóc sức khỏe sinh sản. Bác sĩ từng công tác khoa Sản Phụ khoa tại Bệnh viên chuyên nghành Sản Phụ khoa của thủ đô. Đặt lịch trước với bác sĩ Duyên: [TẠI ĐÂY]
Bác sĩ ưu tú Trần Mạnh Hiển: Bác sĩ CKII Bệnh xã hội – Nam học. Nguyên Trưởng khoa cấp cứu Ngoại, bệnh viện Thanh Nhàn Hà Nội, có gần 40 năm kinh nghiệm thăm khám, chẩn đoán và điều trị các bệnh lý nam khoa, bệnh lây truyền qua đường tình dục, tư vấn chăm sóc sức khỏe sinh sản, vô sinh – hiếm muộn… Đặt lịch trước với bác sĩ Hiển: [TẠI ĐÂY]
Bác sĩ Lê Đỗ Nguyên: bác sĩ chuyên khoa II Ngoại – Nam học. Hơn 40 năm kinh nghiệm khám chữa các bệnh lý nam khoa. TOP 10 bác sĩ Nam học giỏi tại Hà Nội năm 2019. Chuyên gia y tế tại bệnh viện Prenda Luanda, Angola. Đặt lịch trước với bác sĩ Nguyên: [TẠI ĐÂY]
Bác sĩ Nguyễn Văn Sướng: bác sĩ Chuyên khoa I Tiết niệu – Nam học. Có 30 năm kinh nghiệm công tác tại các bệnh viện lớn tại Hà nội như: Bệnh viện Quân y 354, Bệnh viện Hữu Nghị Việt Đức, nhận nhiều bằng khen, giấy khen, danh hiệu do Sở, ban, ngành, bệnh viện trao tặng. Đặt lịch trước với bác sĩ Sướng: [TẠI ĐÂY]
Người bệnh dễ dàng đăng ký mà không cần đến trực tiếp để tiết kiệm thời gian và chi phí. Mọi thông tin bệnh nhân hoàn toàn bảo mật, dịch vụ chăm sóc chuyên nghiệp, tận tình, chu đáo, mang lại cảm giác thoải mái như ở nhà.
Ưu Đãi Dành Cho Bệnh Nhân Đăng Ký Đặt Hẹn Khám Trước Qua Đây:
Miễn phí khám lâm sàng.
Ưu đãi sùi mào gà 200K (giá gốc 1230K)
Giảm 30 – 50% chi phí thực hiện thủ thuật điều trị sùi mào gà
Giảm 10 – 30% phí vật lý trị liệu
Được ưu tiên vào khám luôn mà không phải xếp hàng chờ đợi
Được lựa chọn Bác sĩ đầu ngành thăm khám
Hoàn toàn kín đáo. Bảo mật thông tin tuyệt đối
Lưu ý: Chương trình ưu đãi trên chỉ áp dụng cho bệnh nhân đặt lịch khám trực tiếp trên hệ thống website của phòng khám TẠI ĐÂY!. Mọi bệnh nhân không có mã đặt hẹn tại đây sẽ phải thanh toán 100% phí gốc. Lưu ý lấy mã giảm phí 50% và ưu đãi gói khám 200K bằng cách nhắn tin đặt hẹn trực tiếp với bác sĩ trên web LẤY MÃ ĐẶT HẸN KHÁM TRƯỚC TẠI ĐÂY! (Mọi thông tin được bảo mật tuyệt đối)
CAM KẾT CHỮA SÙI MÀO GÀ TẠI PHÒNG KHÁM ĐA KHOA QUỐC TẾ HÀ NỘI
Cam kết chữa khỏi nếu bệnh nhân tuân thủ theo đúng chỉ định và phương án điều trị của bác sĩ
Ra về luôn trong ngày, không phải nằm viện
Không đau, không chảy máu, không để lại sẹo
Chi phí thăm khám hợp lý
Được khám với Tiến sĩ, Thạc sĩ, Bác sĩ chuyên khoa theo yêu cầu
Cam kết bảo mật thông tin tuyệt đối
Chi Phí Khám Chữa Bệnh Sùi Mào Ở Miệng Gà Bằng Phương Pháp ALA – PDT Thế Hệ 3
Chi phí điều trị sùi mào gà vào tùy vào mức độ nặng hay nhẹ, số lượng nốt sùi. Quá trình xử lý nhanh chóng, bạn chỉ mất khoảng 15 – 20 phút là xong và có thể ra về. Chi phí khám Bệnh xã hội, Nam Khoa, Phụ khoa được công khai minh bạch, bạn có thể tham khảo [bảng giá] bên dưới. Ngoài ra, còn có nhiều ưu đãi hấp dẫn khác, được áp dụng với người bệnh đăng ký hẹn khám trước trên Website. Bạn có thể lấy mã giảm giá gói khám 200K [TẠI ĐÂY]. Lưu ý, nếu bạn không đăng ký hẹn khám từ trước trên Website sẽ phải chi trả 100% phí.
Đối với bệnh lý sùi mào gà chi phí khám chữa bệnh tại Phòng khám Đa khoa Quốc tế Hà Nội được niêm yết theo quy định của Sở Y tế. Bác sĩ sẽ chỉ định các hạng mục khám cần thiết để giúp bệnh nhân tiết kiệm chi phí hơn. Phụ thuộc vào từng trường hợp khác nhau, người bệnh sẽ cần xét nghiệm thường quy để xác định tình trạng sức khỏe hiện tại.
ƯU ĐÃI dành cho những bệnh nhân có mã số đặt hẹn khám trước tại phòng khám. Đăng ký lấy mã: [TẠI ĐÂY]
Có nên dùng thuốc bôi chữa sùi mào gà ở miệng?
Đến nay, chưa có bất kỳ loại thuốc nào có thể đặc trị bệnh sùi mào gà. Vì vậy, người bệnh nên lựa chọn các cơ sở y tế uy tín, trang thiết bị y tế hiện đại để khám và có phác đồ điều trị phù hợp. Tuyệt đối không tự ý mua thuốc chữa trị để tránh tình trạng bệnh càng nghiêm trọng hơn.
Sùi mào gà ở miệng là vị trí nhạy cảm, khó điều trị vì nơi đây là vùng da khá mỏng, rất dễ bị tổn thương, có thể gây lở loét, chảy máu nguy hiểm. Miệng là nơi tập trung nhiều dây thần kinh nhạy cảm, lớp da mỏng nên có thể ảnh hưởng đến các cơ quan xung quanh ở mặt.
Nếu sùi mào gà ở bộ phận sinh dục hoặc các vùng da khác thì có thể điều trị bằng thuốc, chấm dung dịch, đốt điện, đốt laser… thì sùi mào gà ở miệng đòi hỏi bác sĩ cần kiểm tra, đánh giá mức độ bệnh và lựa chọn phương pháp phù hợp với bệnh nhân. Miệng là nơi tập trung nhiều dây thần kinh nhạy cảm, lớp da mỏng, vì vậy, bác sĩ điều trị cần có trình độ chuyên môn cao, trang thiết bị y tế hiện đại để tránh gây tổn thương và mang lại hiệu quả cao.
Để đăng ký tư vấn khám và hỗ trợ điều trị sùi mào gà, người bệnh có thể đặt lịch hẹn:
Gọi tổng đài 24/24 giờ 0243.678.8888 – 082.999.2020
Hoặc, tránh phát sinh chi phí cuộc gọi, các bạn để SĐT tại [KHÁM ONLINE MIỄN PHÍ TẠI ĐÂY],tư vấn viên sẽ liên hệ trong thời gian sớm nhất.
Phòng khám mở cửa từ 8 giờ đến 20 giờ 30, tất cả các ngày trong tuần, kể cả ngày nghỉ lễ.
Địa chỉ: 152 Xã Đàn, Q.Đống Đa, Hà Nội
Bài viết KHÔNG có thông tin bạn tìm, liên hệ với bác sĩ chuyên khoa bằng cách:
- Gọi điện trực tiếp tới SĐT của bác sĩ: 024.3678.8888 - 082.999.2020
- Click [Tư vấn trực tuyến] để trao đổi trực tiếp với bác sĩ
- Để tiết kiệm chi phí, bạn có thể [để lại số điện thoại], chúng tôi sẽ liên hệ lại
Hiệu quả hỗ trợ điều trị phụ thuộc vào thể trạng của mỗi người
Tuân thủ theo đúng chỉ định của bác sĩ để mang lại kết quả tốt nhất

















